Int J Biol Sci 2026; 22(7):3860-3861. doi:10.7150/ijbs.132859 This issue Cite

Erratum

FTO-induced APOE promotes the malignant progression of pancreatic neuroendocrine neoplasms through FASN-mediated lipid metabolism: Erratum

Jinhao Chen1,2*, Mujie Ye1*, Danyang Gu1*, Ping Yu1*, Lin Xu1, Bingyang Xue1, Lijun Yan1, Feiyu Lu1, Chunhua Hu1, Yanling Xu1, Xiaoting Shi1, Lingyi Chen1, Yan Wang3,4 Corresponding address, Jianan Bai1 Corresponding address, Ye Tian1 Corresponding address, Qiyun Tang1 Corresponding address

1. Department of Geriatric Gastroenterology, Neuroendocrine Tumor Center, Jiangsu Province Hospital, The First Affiliated of Nanjing Medical University, Institute of Neuroendocrine Tumor, Nanjing Medical University, Nanjing, China.
2. Center for Biomarker Discovery and Validation, National Infrastructures for Translational Medicine (PUMCH), Institute of Clinical Medicine, Peking Union Medical College Hospital, Chinese Academy of Medical Science & Peking Union Medical College, Beijing, China.
3. Digestive Endoscopy, Jiangsu Province Hospital, The First Affiliated Hospital of Nanjing Medical University, China.
4. Department of Gastroenterology, The Friendship Hospital of Ili Kazakh Autonomous Prefecture, Ili State 835000, China.
* These authors contributed equally.

Published 2026-3-27

Citation:
Chen J, Ye M, Gu D, Yu P, Xu L, Xue B, Yan L, Lu F, Hu C, Xu Y, Shi X, Chen L, Wang Y, Bai J, Tian Y, Tang Q. FTO-induced APOE promotes the malignant progression of pancreatic neuroendocrine neoplasms through FASN-mediated lipid metabolism: Erratum. Int J Biol Sci 2026; 22(7):3860-3861. doi:10.7150/ijbs.132859. https://www.ijbs.com/v22p3860.htm
Other styles

File import instruction

Corrected-article in Int J Biol Sci, Volume 21, 1478

 

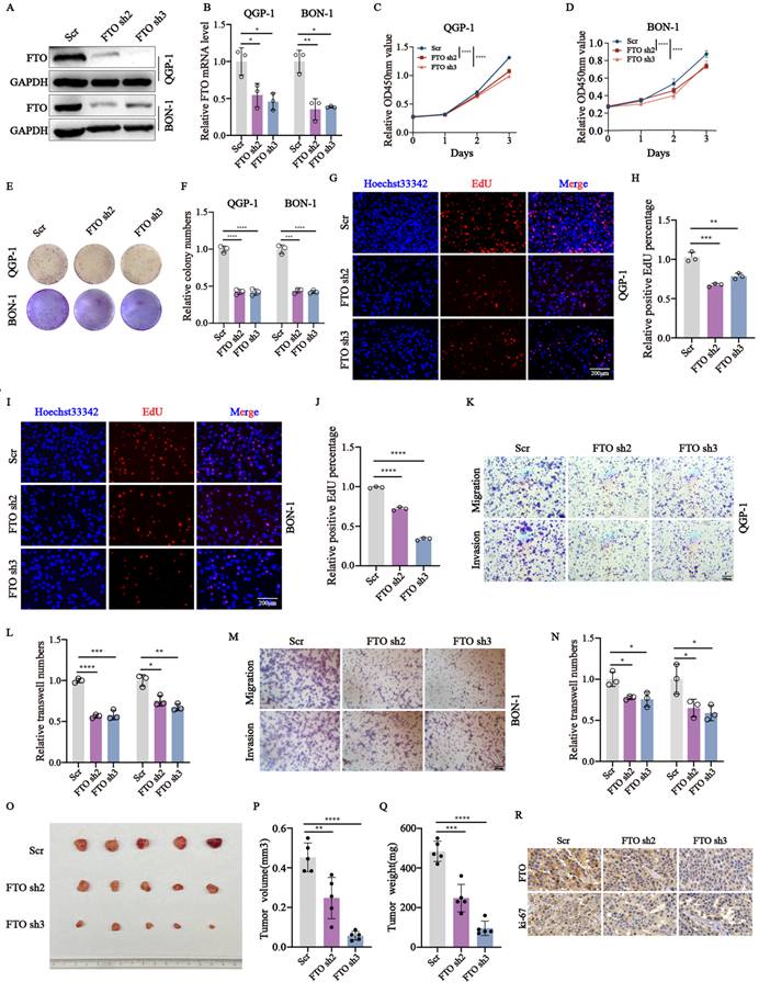
In the published version of this paper, the author noticed a non-subjective error in Figure 2E. Specifically, the image of BON-1 cells transfected with FTO sh2 was inadvertently duplicated and incorrectly used to represent BON-1 cells transfected with FTO sh3.

We have carefully re-examined the original raw data and confirmed that this error does not affect the results or conclusions of the study. The correct image for the FTO sh3 group has been provided, and all authors have agreed to this correction. We sincerely apologize for any inconvenience caused by this oversight and remain committed to maintaining the accuracy and integrity of the scientific record.

Figure 2E should be corrected as follows.

 Figure 2 

Correct image.

Int J Biol Sci Image

Author contact

Corresponding address Corresponding authors: Qiyun Tang, Department of Geriatric Gastroenterology, Neuroendocrine Tumor Center, Jiangsu Province Hospital, The First Affiliated Hospital of Nanjing Medical University, Institute of Neuroendocrine Tumor, Nanjing Medical University, No. 300 Guangzhou Road, Nanjing, 210029, China. Email: tqy831com. Ye Tian, Department of Geriatric Gastroenterology, Neuroendocrine Tumor Center, Jiangsu Province Hospital, The First Affiliated Hospital of Nanjing Medical University, Institute of Neuroendocrine Tumor, Nanjing Medical University, NO. 300 Guangzhou Road, Nanjing, China. Email: tianye6626com. Jianan Bai, Department of Geriatric Gastroenterology, Neuroendocrine Tumor Center, Jiangsu Province Hospital, The First Affiliated Hospital of Nanjing Medical University, Institute of Neuroendocrine Tumor, Nanjing Medical University, No. 300 Guangzhou Road, Nanjing, 210029, China. Yan Wang, The First Affiliated Hospital of Nanjing Medical University, Department of Gastroenterology, The Friendship Hospital of Ili Kazakh Autonomous Prefecture, Ili State 835000, China. Email: wy_797com.


Citation styles

APA
Chen, J., Ye, M., Gu, D., Yu, P., Xu, L., Xue, B., Yan, L., Lu, F., Hu, C., Xu, Y., Shi, X., Chen, L., Wang, Y., Bai, J., Tian, Y., Tang, Q. (2026). FTO-induced APOE promotes the malignant progression of pancreatic neuroendocrine neoplasms through FASN-mediated lipid metabolism: Erratum. International Journal of Biological Sciences, 22(7), 3860-3861. https://doi.org/10.7150/ijbs.132859.

ACS
Chen, J.; Ye, M.; Gu, D.; Yu, P.; Xu, L.; Xue, B.; Yan, L.; Lu, F.; Hu, C.; Xu, Y.; Shi, X.; Chen, L.; Wang, Y.; Bai, J.; Tian, Y.; Tang, Q. FTO-induced APOE promotes the malignant progression of pancreatic neuroendocrine neoplasms through FASN-mediated lipid metabolism: Erratum. Int. J. Biol. Sci. 2026, 22 (7), 3860-3861. DOI: 10.7150/ijbs.132859.

NLM
Chen J, Ye M, Gu D, Yu P, Xu L, Xue B, Yan L, Lu F, Hu C, Xu Y, Shi X, Chen L, Wang Y, Bai J, Tian Y, Tang Q. FTO-induced APOE promotes the malignant progression of pancreatic neuroendocrine neoplasms through FASN-mediated lipid metabolism: Erratum. Int J Biol Sci 2026; 22(7):3860-3861. doi:10.7150/ijbs.132859. https://www.ijbs.com/v22p3860.htm

CSE
Chen J, Ye M, Gu D, Yu P, Xu L, Xue B, Yan L, Lu F, Hu C, Xu Y, Shi X, Chen L, Wang Y, Bai J, Tian Y, Tang Q. 2026. FTO-induced APOE promotes the malignant progression of pancreatic neuroendocrine neoplasms through FASN-mediated lipid metabolism: Erratum. Int J Biol Sci. 22(7):3860-3861.

This is an open access article distributed under the terms of the Creative Commons Attribution License (https://creativecommons.org/licenses/by/4.0/). See http://ivyspring.com/terms for full terms and conditions.
Popup Image