Int J Biol Sci 2025; 21(15):7120-7122. doi:10.7150/ijbs.128368 This issue Cite

Erratum

Hypoxia-activated selectivity-improved anti-PKM2 antibody combined with prodrug TH-302 for potentiated targeting therapy in hepatocellular carcinoma: Erratum

Bo Wang1,†, Fang-Zheng Qi1,†, Ping Chen2,†, Luo-Meng Qian1, Hui-Shan Su1, Yang Wang1, Chen-Hui Wang1, Ya-Xin Hou1, Qing Zhang2, Ding Li2, Zhe-Sheng Chen3, Si-He Zhang1, Corresponding address

1. Department of Cell Biology, School of Medicine, Nankai University, Tianjin, 300071, China.
2. National Clinical Research Center for Cancer, Key Laboratory of Cancer Prevention and Therapy, Tianjin Medical University Cancer Institute and Hospital, Tianjin, 300060, China.
3. Department of Pharmaceutical Sciences, College of Pharmacy and Health Sciences, St. John's University, Queens, New York, NY, 11439, USA.
These authors contributed equally to this work.

Published 2025-12-15

Citation:
Wang B, Qi FZ, Chen P, Qian LM, Su HS, Wang Y, Wang CH, Hou YX, Zhang Q, Li D, Chen ZS, Zhang SH. Hypoxia-activated selectivity-improved anti-PKM2 antibody combined with prodrug TH-302 for potentiated targeting therapy in hepatocellular carcinoma: Erratum. Int J Biol Sci 2025; 21(15):7120-7122. doi:10.7150/ijbs.128368. https://www.ijbs.com/v21p7120.htm
Other styles

File import instruction

Corrected-article in Int J Biol Sci, Volume 20, 1634

 

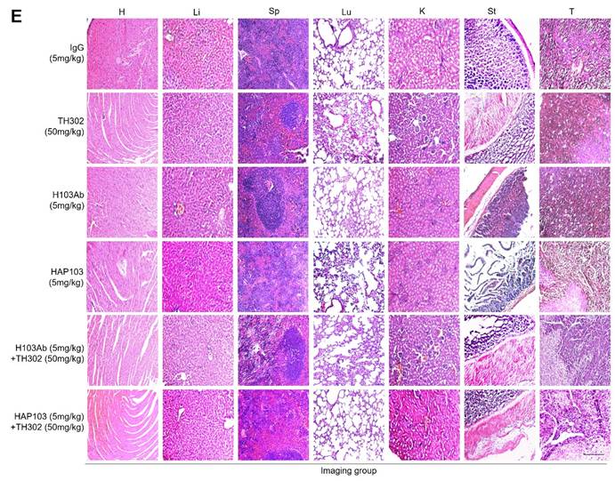
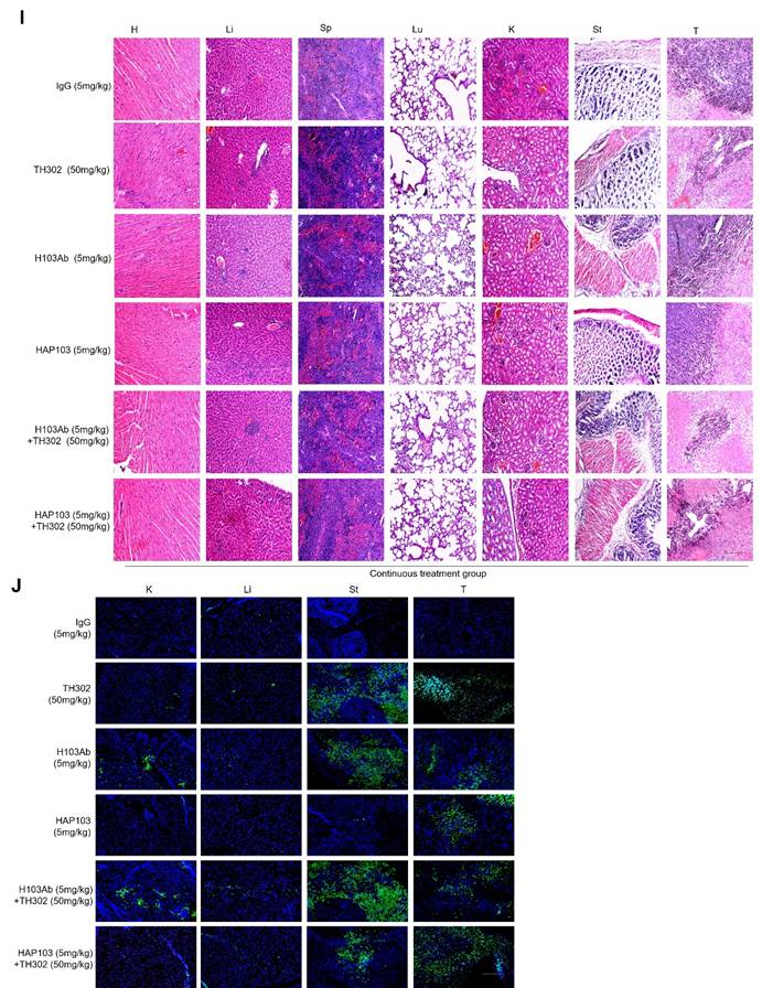
In the process of checking the raw data, the authors noticed several inadvertent mistakes occurring in Figure 6E and Figure 7I&7J. During the preparation of these panels, the representative images showing results of H&E staining assays (Figure 6E and Figure 7I), and TUNEL staining assays (Figure 7J) were pasted and placed by mistake. The correct result should be as shown below. The authors apologize for these oversights and declare that this correction does not affect the description, interpretation, or conclusions detailed in the original paper.

 FIGURE 6 

Ex vivo identification of the targeting-associated toxicity of HAP103 Ab. (E) Representative H&E staining of main organs and liver cancer tissues from mice subjected to different treatments.

Int J Biol Sci Image
 FIGURE 7 

Hypoxia-targeting therapy for liver cancer via the combination of selectivity-improved HAP103 Ab and the prodrug TH-302. (I) Representative H&E staining of main organ tissues from mice subjected to different treatments. (J) Representative TUNEL staining demonstrating the degree of apoptosis in main organs and xenografted HCC tissues after different treatments. Scale bar=500 µm.

Int J Biol Sci Image

Author contact

Corresponding address Corresponding author: Prof. Sihe Zhang, Department of Cell Biology, School of Medicine, Nankai University, 94 Weijin Road, Nankai District, Tianjin, 300071, P.R. China; E-mail: sihezhangedu.cn; https://orcid.org/0000-0002-8923-1993.


Citation styles

APA
Wang, B., Qi, F.Z., Chen, P., Qian, L.M., Su, H.S., Wang, Y., Wang, C.H., Hou, Y.X., Zhang, Q., Li, D., Chen, Z.S., Zhang, S.H. (2025). Hypoxia-activated selectivity-improved anti-PKM2 antibody combined with prodrug TH-302 for potentiated targeting therapy in hepatocellular carcinoma: Erratum. International Journal of Biological Sciences, 21(15), 7120-7122. https://doi.org/10.7150/ijbs.128368.

ACS
Wang, B.; Qi, F.Z.; Chen, P.; Qian, L.M.; Su, H.S.; Wang, Y.; Wang, C.H.; Hou, Y.X.; Zhang, Q.; Li, D.; Chen, Z.S.; Zhang, S.H. Hypoxia-activated selectivity-improved anti-PKM2 antibody combined with prodrug TH-302 for potentiated targeting therapy in hepatocellular carcinoma: Erratum. Int. J. Biol. Sci. 2025, 21 (15), 7120-7122. DOI: 10.7150/ijbs.128368.

NLM
Wang B, Qi FZ, Chen P, Qian LM, Su HS, Wang Y, Wang CH, Hou YX, Zhang Q, Li D, Chen ZS, Zhang SH. Hypoxia-activated selectivity-improved anti-PKM2 antibody combined with prodrug TH-302 for potentiated targeting therapy in hepatocellular carcinoma: Erratum. Int J Biol Sci 2025; 21(15):7120-7122. doi:10.7150/ijbs.128368. https://www.ijbs.com/v21p7120.htm

CSE
Wang B, Qi FZ, Chen P, Qian LM, Su HS, Wang Y, Wang CH, Hou YX, Zhang Q, Li D, Chen ZS, Zhang SH. 2025. Hypoxia-activated selectivity-improved anti-PKM2 antibody combined with prodrug TH-302 for potentiated targeting therapy in hepatocellular carcinoma: Erratum. Int J Biol Sci. 21(15):7120-7122.

This is an open access article distributed under the terms of the Creative Commons Attribution License (https://creativecommons.org/licenses/by/4.0/). See http://ivyspring.com/terms for full terms and conditions.
Popup Image